Ministerio de Ciencia e Innovación

Noticias

  • CIBERBBN
    Inteligencia artificial para la predicción de glucosa: máxima precisión en amplios horizontes de tiempo
    14/11/2020
    Inteligencia artificial para la predicción de glucosa: máxima precisión en amplios horizontes de tiempo
  • CIBERDEM
    La mayoría de los pacientes con diabetes tipo 2 tienen un alto riesgo de sufrir un ataque cardíaco o una trombosis cerebral
    14/11/2020
    La mayoría de los pacientes con diabetes tipo 2 tienen un alto riesgo de sufrir un ataque cardíaco o una trombosis cerebral
  • CIBERER
    La ONCE colabora con diversos proyectos de investigadoras del CIBERER sobre enfermedades raras oculares
    13/11/2020
    La ONCE colabora con diversos proyectos de investigadoras del CIBERER sobre enfermedades raras oculares
  • CIBERES
    Describen tres fenotipos cognitivos un mes después del alta de UCI en pacientes críticos que han recibido ventilación mecánica
    13/11/2020
    Describen tres fenotipos cognitivos un mes después del alta de UCI en pacientes críticos que han recibido ventilación mecánica
  • CIBER
    Lanzan la convocatoria del I Premio Francisco Soria Melguizo a la aportación científica y clínica en el ámbito de la Microbiología
    13/11/2020
    Lanzan la convocatoria del I Premio Francisco Soria Melguizo a la aportación científica y clínica en el ámbito de la Microbiología
  • CIBEREHD
    La modulación de la microbiota intestinal contribuye a los beneficios del ejercicio en la obesidad temprana
    12/11/2020
    La modulación de la microbiota intestinal contribuye a los beneficios del ejercicio en la obesidad temprana
  • CIBERER
    Colesterolnitronas, una nueva familia de moléculas antioxidantes para el tratamiento de la hipoacusia
    11/11/2020
    Colesterolnitronas, una nueva familia de moléculas antioxidantes para el tratamiento de la hipoacusia
  • CIBERONC
    Identificado un  nuevo mecanismo que causa la metástasis en cáncer de mama
    11/11/2020
    Identificado un nuevo mecanismo que causa la metástasis en cáncer de mama
  • CIBEREHD
    Celebradas las XIV Jornadas Científicas del CIBEREHD
    11/11/2020
    Celebradas las XIV Jornadas Científicas del CIBEREHD
  • CIBERER
    El modelo de pez cebra, de gran utilidad para estudiar enfermedades con componentes inflamatorios
    10/11/2020
    El modelo de pez cebra, de gran utilidad para estudiar enfermedades con componentes inflamatorios
  • CIBERFES
    Identifican nuevos marcadores de la proteína tau para detectar la fase preclínica de la enfermedad de Alzheimer
    10/11/2020
    Identifican nuevos marcadores de la proteína tau para detectar la fase preclínica de la enfermedad de Alzheimer
  • CIBEROBN
    Una siesta de 30 minutos, andar media hora o quedar con amigos, tres de los diez factores que reducen el riesgo de mortalidad prematura
    10/11/2020
    Una siesta de 30 minutos, andar media hora o quedar con amigos, tres de los diez factores que reducen el riesgo de mortalidad prematura
  • CIBERSAM
    La estimulación optogenética mejora las alteraciones del movimiento y del comportamiento en modelos experimentales de la enfermedad de Huntington
    10/11/2020
    La estimulación optogenética mejora las alteraciones del movimiento y del comportamiento en modelos experimentales de la enfermedad de Huntington
  • CIBERDEM
    Los investigadores del CIBERDEM continúan avanzado en el estudio, tratamiento y prevención de la diabetes y las enfermedades metabólicas asociadas
    07/11/2020
    Los investigadores del CIBERDEM continúan avanzado en el estudio, tratamiento y prevención de la diabetes y las enfermedades metabólicas asociadas
  • CIBERESP
    ¿Es el café bueno para la salud o es la buena salud la que favorece el consumo de café?
    06/11/2020
    ¿Es el café bueno para la salud o es la buena salud la que favorece el consumo de café?
  • CIBERDEM
    El tejido adiposo se identifica como nueva diana terapéutica para la actividad del GLP-2 en el tratamiento de la obesidad
    06/11/2020
    El tejido adiposo se identifica como nueva diana terapéutica para la actividad del GLP-2 en el tratamiento de la obesidad
  • CIBEROBN
    Consumir frutos secos provoca cambios en la función del ADN de los espermatozoides
    06/11/2020
    Consumir frutos secos provoca cambios en la función del ADN de los espermatozoides
  • CIBERES
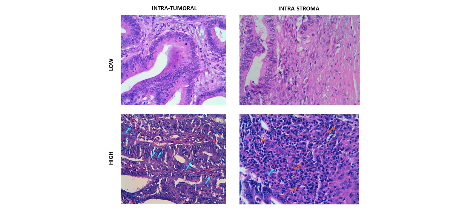
    Nuevos avances en el papel del microambiente tumoral en el cáncer de pulmón en pacientes con EPOC
    05/11/2020
    Nuevos avances en el papel del microambiente tumoral en el cáncer de pulmón en pacientes con EPOC
  • CIBERCV
    Descubierto un nuevo mecanismo de prevención del daño vascular inducido por obesidad
    05/11/2020
    Descubierto un nuevo mecanismo de prevención del daño vascular inducido por obesidad
  • CIBERDEM
    El tratamiento con estatinas podría reducir la mortalidad por COVID-19 entre un 22 y un 25%
    04/11/2020
    El tratamiento con estatinas podría reducir la mortalidad por COVID-19 entre un 22 y un 25%
  • CIBERER
    La nueva ‘Academia CIBERER para pacientes’ ofrecerá formación sobre la investigación en enfermedades raras
    02/11/2020
    La nueva ‘Academia CIBERER para pacientes’ ofrecerá formación sobre la investigación en enfermedades raras
  • CIBEROBN
    Revelan las propiedades nutricionales del aceite de los olivos silvestres de las islas Medas
    02/11/2020
    Revelan las propiedades nutricionales del aceite de los olivos silvestres de las islas Medas
  • CIBERDEM
    España suma cada día 257 personas con síndrome metabólico
    29/10/2020
    España suma cada día 257 personas con síndrome metabólico
  • CIBER
    Saray Varona, Rosa Baños y Rocío Herrero, premiadas en la primera convocatoria de vídeos #quesigalaciencia del CIBER
    29/10/2020
    Saray Varona, Rosa Baños y Rocío Herrero, premiadas en la primera convocatoria de vídeos #quesigalaciencia del CIBER